Связанная со стрессом стираемость зубов при бруксизме встречается все чаще. Следовательно, обнаженные и болезненные/чувствительные зубы, а также корни с гиперчувствительностью стали основными причинами для визитов в стоматологические кабинеты.
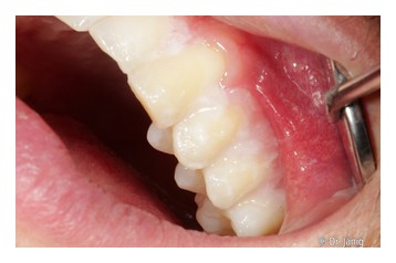
Конечно, не каждый корень зуба с гиперчувствительностью нуждается в инвазивном лечении, поскольку клиновидные дефекты присутствуют не всегда, или потеря тканей зуба недостаточно велика для возможности или обоснования методов консервативного лечения и пломбирования.
Пациенты, для которых мало инвазивная терапия с пломбированием не является приемлемой, все же могут получить определенное лечение. Нанесение фторсодержащего лака, такого, как Enamelast, позволяет закрыть обнаженные дентинные канальцы благодаря долговременному высвобождению фторидов. Таким образом, это обеспечивает успех лечения гиперчувствительности дентина.
Я считаю, что фторсодержащий лак Enamelast с 5 %-ным содержанием фторида натрия продемонстрировал свою чрезвычайную эффективность.
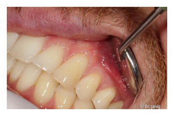
Рис.1. Не все корни зубов с гиперчувствительностью нуждаются в малоинвазивном лечении
|
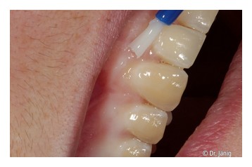
Рис.2. Благодаря наличию полимеров естественного происхождения, способствующих адгезии, фторсодержащий лак Enamelast наносится на поверхность зуба на относительно длительное время, постоянно высвобождая фториды в ткани зуба
|
Это выраженное высвобождение фторидов обеспечивает закрытие обнаженных дентинных канальцев на несколько часов. Демонстрируя повышенную ретенцию на поверхности зуба, остатки лака часто удаляются полностью только при чистке зубов в следующий раз. Это и является причиной долговременного высвобождения фторидов, что обеспечивает отличные результаты при лечении гиперчувствительности дентина. Пациенты часто сами просят меня наносить Enamelast, поскольку они помнят действие этого «невероятно эффективного лака с восхитительным вкусом». До нанесения фторсодержащего лака Enamelast поверхности зубов должны быть высушены настолько, насколько это возможно. Затем лак мазками наносится тонким и равномерным слоем на поверхность зуба.
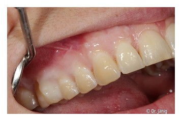
Рис.3. До нанесения фторсодержащего лака Enamelast поверхности зубов должны быть тщательно высушены
|
повышенной чувствительностью. Обычно наблюдается заметное улучшение чувствительности после всего лишь двух нанесений. Пациенты даже могут использовать лак перед сном, позволяя ему действовать в течение всей ночи.
В качестве подсластителя во фторсодержащий лак Enamelast добавлен ксилит; кроме того юнидозы могут поставляться с разными приятными вкусами: Caramel (карамель), Orange Cream (апельсиновый крем), Cool Mint (прохладная мята),
Bubble Gum (евательная резинка) и Walterberry™. Дети проявляют особенный энтузиазм в отношении разных вкусов и получают удовольствие от, как они говорят «самого вкусного лака для зубов».
Рис.4. Юнидозы лака Enamelast в предварительно сформированных блистерах, содержащих как фторсодержащий лак, так и кисть для нанесения
|
Рис.5 Фторсодержащий лак Enamelast может быть легко нанесен кистью
|
Рис.6. Фторсодержащий лак Enamelast с разными вкусами
|
Обе
Рис.7 Фторсодержащий лак Enamelast в шприцах . |
Рис. 8 Фторсодержащий лак Enamelast в шприцах с насадками для нанесения SoftEz
|
Рис. 9 Будучи практически прозрачным, фторсодержащий лак Enamelast наносится на поверхность зуба на продолжительное время. |

Рис. 8
Рис. 9