С тех пор, как я начала использовать в своей ежедневной практике гигиениста новый мелкодисперсный порошок на основе эритритола и придерживаться концепции Guided Biofilm Therapy (GBT), моя жизнь уже никогда не будет прежней. Без всяких сомнений рекомендую этот метод всем стоматологам! Имея научно-доказанные подтверждения эффективности GBT, анализируя свой собственный опыт и отзывы пациентов, я с уверенностью могу сказать, что удаление биопленки с помощью порошка AIR-FLOW PLUS (EMS) является наилучшим решением для профессиональной чистки зубов. Я с успехом применяю его на практике и процесс лечения стал более комфортным как для
меня, так и для пациентов.
Долгое время я завидовала гигиенистам, работающим за пределами США, потому что они могли использовать мелкодисперсный порошок на основе эритритола вместо порошков на основе глицина. Теперь, когда эритритол одобрен FDA и доступен для всех гигиенистов в США, я являюсь активным пропагандистом его преимуществ.
Так почему столько шума вокруг порошка на основе эритритола? Возможно, некоторые из тех, кто читает сейчас эту статью, уже пробовали порошок AIR-FLOW PLUS в аппаратах для воздушно-порошковой обработки. Тем, кто еще не успел с ним поработать хочу сказать, что его преимущества просто замечательны!
Размер гранул порошка на основе эритритола составляет всего 14 мкм, что существенно меньше, чем у глицина (25 мкм), поэтому он обладает минимально-абразивными свойствами. Частицы эритритола на 37 % более твердые, чем глицина, что позволяет значительно эффективнее удалять биопленку. Это замечательно! Значит работу можно выполнить быстрее! Слово PLUS в названии нового порошка на основе эритритола означает, что его потенциал выходит за рамки только удаления пигментации и биопленки. Порошок AIR-FLOW PLUS, обладая антикариесогенными и антиоксидантными свойствами, оказывает антибактериальное действие на патогены полости рта.
меня, так и для пациентов.
Долгое время я завидовала гигиенистам, работающим за пределами США, потому что они могли использовать мелкодисперсный порошок на основе эритритола вместо порошков на основе глицина. Теперь, когда эритритол одобрен FDA и доступен для всех гигиенистов в США, я являюсь активным пропагандистом его преимуществ.
Так почему столько шума вокруг порошка на основе эритритола? Возможно, некоторые из тех, кто читает сейчас эту статью, уже пробовали порошок AIR-FLOW PLUS в аппаратах для воздушно-порошковой обработки. Тем, кто еще не успел с ним поработать хочу сказать, что его преимущества просто замечательны!
Размер гранул порошка на основе эритритола составляет всего 14 мкм, что существенно меньше, чем у глицина (25 мкм), поэтому он обладает минимально-абразивными свойствами. Частицы эритритола на 37 % более твердые, чем глицина, что позволяет значительно эффективнее удалять биопленку. Это замечательно! Значит работу можно выполнить быстрее! Слово PLUS в названии нового порошка на основе эритритола означает, что его потенциал выходит за рамки только удаления пигментации и биопленки. Порошок AIR-FLOW PLUS, обладая антикариесогенными и антиоксидантными свойствами, оказывает антибактериальное действие на патогены полости рта.
Антикариесогенный эффект эритритола
По степени воздействия на бактерии, вызывающие кариес, эритритол очень похож на ксилит. Бактерии Streptococcus mutans, например, не выживают в присутствии эритритола или ксилита. В довольно интересной статье de Cock P и соавт.1 представили обзор многочисленных исследований антикариозного потенциала эритритола независимо или в сравнении с другими полиолами, подтверждающих его эффективность. Результаты некоторых исследований доказывают, что эритритол обладает более сильным антикариозным воздействием, чем ксилит.Эритритол замедляет формирование биопленки
В 2016 году было проведено исследование четырех штаммов бактерий, вызывающих поражение тканей вокруг имплантата. Образцы бактерий из пораженных областей были погружены на стерильные титановые диски до появления биопленки. Затем порошок на основе эритритола был смешан со стерильным раствором слюны и добавлен к массе биопленки. Благодаря антимикробному воздействию порошка, формирование новой биопленки замедлилось.2 Результаты исследования in vitro показали, что эритритол подавлял возникновение биопленки и при гингивите.3 Уменьшение патогенных видов бактерий в биопленке под воздействием эритритола свидетельствует о том, что его можно успешно применять для предотвращения болезней пародонта.4 В исследовании in vitro сравнивали порошки на основе глицина и эритритола и отметили более сильное антимикробное действие последнего, поэтому его можно рассматривать в качестве эффективного средства для удаления биопленки при гингивите и периодонтите.5
Антиоксидантные свойства эритритола
Эритритол обладает антиоксидантными свойствами и способен блокировать реакции свободнорадикального окисления, восстанавливая разрушенные соединения. Исследования на животных показали, что эритритол нейтрализует свободные радикалы у больных диабетом крыс, устраняя эндотелиальную дисфункцию. Пилотное клиническое исследование выявило у эритритола способность улучшать эндотелиальную функцию капилляров у пациентов с сахарным диабетом. Другими словами, постоянное применение эритритола эффективно для устранения разрушающих последствий гипергликемии.6Дентальная спа-терапия порошком AIR-FLOW PLUS в рамках поддерживающей пародонтальной терапии
Воздушно-порошковая обработка с использованием порошка на основе эритритола при поддерживающей пародонтальной терапии у пациентов с незначительными минерализованными зубными отложениями дает аналогичные результаты с традиционной обработкой (скейлинг и последующее сглаживание поверхности корня), но гораздо более бережна по отношению к твердым и мягким тканям.7 Воздушно-порошковая обработка с использованием AIR-FLOW PLUS не удаляет зубной камень, однако является хорошей альтернативой для удаления биопленки на зубах и вокруг имплантатов с помощью ультразвукового или ручного инструмента, а благодаря нежной водно-воздушно-порошковой струе данную процедуру можно назвать дентальной спа-терапией. Это прекрасно, когда пациенты с радостью ожидают следующего визита, нежели чем ищут причины его пропустить! Если вы еще не перешли на минимально-абразивный порошок AIR-FLOW PLUS, сейчас самое время для этого! Вы и ваши пациенты получат массу преимуществ от комфорта, эффективности и безопасности этого нового продукта.Применение порошка EMS AIRFLOW PLUS
Из-за микроскопического размера частиц порошка AIRFLOW PLUS его можно использовать только в аппарате AIRFLOW Prophylaxis Master от компании EMS. Применение AIR-FLOW PLUS с другим устройством может быть проблематичным из-за риска чрезмерного расхода или образования комков.
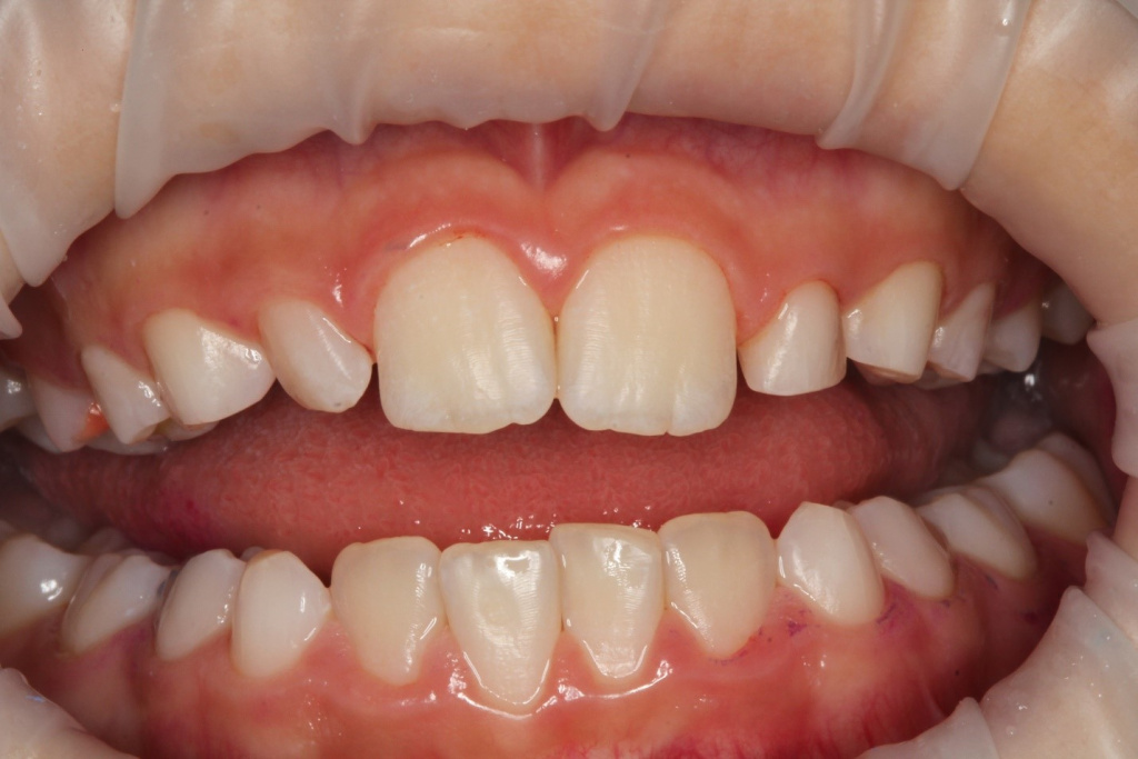
Рис. 1. До применения порошка AIR-FLOW PLUS
Рис. 2. После применения порошка AIR-FLOW PLUS
Рис. 3. Сразу после AIRFLOW с порошком AIR-FLOW PLUS (до обработки ручным инструментом)

Рис. 4. Кончик инструмента Perio Flow в пародонтальном кармане глубиной 5 мм
Рис. 5. Профилактическое устройство EMS AIR-FLOW

Рис. 6. Порошок EMS AIR-FLOW
ПРОТОКОЛ GUIDED BIOFILM THERAPY
GBT – это концепция направленного удаления биопленки с применением технологии AIR FLOW и минимально-абразивного порошка с целью достижения максимальной эффективности, комфорта и сохранения твердых и мягких тканей зуба и реставрационных материалов. Данную процедуру проводят до удаления зубного камня. Это наилучшее решение для профессиональной чистки зубов.
Литература:
- de Cock P, Makinen K, Honkala E, Saag M, Kennepohl E, Eapen A. Erythritol Is More Effective Than Xylitol and Sorbitol in Managing Oral Health Endpoints. International Journal of Dentistry 2016:http://dx.doi.org/10.1155/2016/9868421.
- Drago L, Bortoli M, Taschieri S, De Vecchi E, Agrappi S, Del Fabbro Massimo, Francetti Luca Angelo, Mattina Roberto. Erythritol/Chlorhexidine Combination Reduces Microbial Biofilm and Prevents Its Formation on Titanium Surfaces in vitro. Journal of Oral Pathology and Medicine 2016;46(8). doi:10.111/jop.12536.
- Janus MM, Volgenant CMC, Brandt BW, Buijs MJ, Keijser BJF, Creilaard W, Zaura E, Krom BP. Effect of Erythritol on Microbial Ecology of In Vitro Gingivitis Biofilms. Journal of Oral Microbiology 2017;9(1). doi:10.1080/20002297.2017.13 37477.
- Hashino E, Kuboniwa M, Alghamdi SA, Yamaguchi M, Yamamoto R, Cho H, Amano A. Erythritol Alters Microstructure and Metabolomics Profiles of Biofilm Composed of Streptococcus Gordonii and Porphyromonas Gingivalis. Molecular Oral Microbiology 2013;28(6).doi:10.1111/omi.12037.
- Drago L, Del Fabbro M, Bortolin M, Vassena C, De Vecchi E, Taschieri S. Biofilm Removal and Antimicrobial Activity of Two Different Air-Polishing Powders: An In Vitro Study. Journal of Periodontology 85, no. 11(November 2014) https://doi.org/10.1902/jop.2014.140134.
- de Cock P. “Erythritol Functional Roles in Oral-Systemic Health.” Advances in Dental Research 2018;29(1). https://doi. org/10.1177/0022034517736499.
- Hagi TT, Hofmanner P, Eick S, Donnet M, Salvi GE, Sculean A, Ramseler CA. he Effects of Erythritol Air Polishing Powder on Microbiological and Clinical Outcomes During Supportive Periodontal Therapy:Six-Month Results of a Randomized Controlled
