улыбки пациента помогают добиться более предсказуемого результата, точно спланировать этапы, и обсудить заранее все нюансы будущей работы с пациентом.
Исходная ситуация
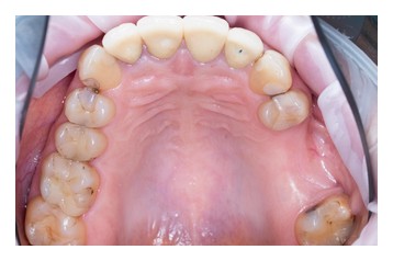
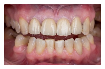
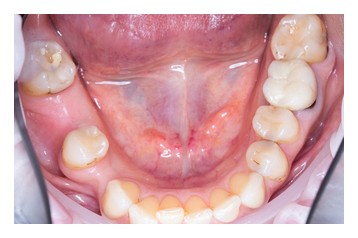
В клинику обратилась пациентка с жалобами на частичное отсутствие зубов верхней и нижней челюсти, неудовлетворительную эстетику улыбки. При внешнем осмотре, мы обратили внимание на признаки снижения высоты нижней трети лица, девиацию нижней челюсти вправо при открывании рта. В состоянии покоя губы и зубные ряды не сомкнуты; режущие края резцов верхней челюсти визуализировались на 1-2 мм.В полости рта - множественные пломбы, с нарушением анатомии и краевого прилегания, признаками вторичного кариеса. Скученность во фронтальном отделе нижней челюсти сопровождалась стираемостью резцов. Дефекты керамической облицовки металлокерамических коронок с опорой на зубы 1.2-2.2 - на небных поверхностях. В области отсутствующих зубов верхней челюсти - достаточно выраженная атрофия костной ткани (Рис.1-7).
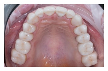
Рис.1. Верхняя зубная дуга. Частичная вторичная адентия зубов 2.5; 2.6 с атрофией костной ткани в этом участке. Множественные реставрации с признаками нарушения анатомии и краевого прилегания; рецидивирующий кариес.
|
Рис.2. Нижняя зубная дуга. Частичная вторичная адентия зубов 4.4; 4.6. Тесное положение зубов во фронтальном отделе нижней челюсти с признаками патологической стираемости; тортоаномалией 4.2; 4.3.
|
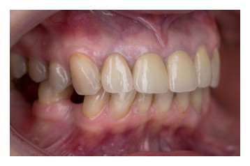
Рис.3. Вид сбоку (справа) в состоянии привычного смыкания челюстей. Отмечается глубокое резцовое перекрытие; атрофия костной ткани в области отсутствующих нижних зубов с правой стороны.
|
Рис.4. Вид сбоку (слева) в состоянии привычного смыкания челюстей. Аномалия прикуса. Атрофия биотопа десны (аналогично рис.3), особенно в области 3.3.
|
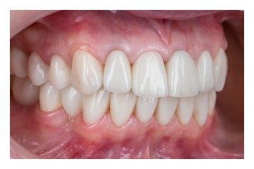
Рис.5 Вид спереди в состоянии неcомкнутых зубов. Тесное положение зубов нижней челюсти; незначительное смещение косметического центра вправо; рецессия десны в области 4.3; 4.1; 3.3; небольшая тортоаномалия 4.3 и 3.3.
|
Рис.6. Асимметрия красной каймы верхней губы с гипотрофией левой границы вермилиона ; ретрузия зуба 1.3. Режущие края резцов соприкасаются с красной каймой нижней губы.
|
Рис.7 Сосотяние физиологическтого покоя, губы не сомкнуты. |
Планирование
На этапе планирования комплексной реабилитации, было проведено интраоральное сканирование, фотопротокол, цифровая аксиография, данные которой использовались для последующей настройки виртуального артикулятора. Определено соотношение челюстей по нейромышечному протоколу с применением Миомонитора J5(TENS). По показаниям проведена репозиция нижней челюсти, в связи с чем была изготовлена каппа, фиксирующая терапевтическое исходное положение, так называемое Therapeutic Reference Position. То есть планирование имплантации проводилось уже не в исходном патологическом положении нижней челюсти, а в определенном терапевтическом, обеспечивая наиболее функционально выгодное расположение имплантатов относительно костного гребня. Позиционирование имплантатов на уровне 2.5, 2.6, 3.6, 4.6 - проводились под контролем хирургического шаблона.По завершению этапа остеоинтеграции и санации полости рта, приступили к этапу ортопедического лечения. В работе учитывались пожелания пациентки по эстетике. Объединив все полученные данные, мы приступили к построению зубных рядов с применением цифровых протоколов. В Программе Exocad был произведен расчет по индексу Шимбачи (LVI) ,что позволило определиться с оптимальной длиной фронтальной группы зубов, проведена моделировка Wax-up (Рис.8-9).
Рис. 8
|
Рис. 9
|
Напечатанный прототип будущей работы примерили в полости рта, не прибегая к препарированию зубов. Проведение повторного фотопротокола после переноса mock up определил необходимость коррекции моделировки (Рис.10).
Рис. 10
|
Рис.11
|
В связи с перестройкой окклюзии пациента, репозиции нижней челюсти применялся этап временного протезирования на коронках с опорой на собственные зубы и имплантаты, изготовленные по технологии CAD-CAM из PMMA (Рис.12-13).
Рис. 12
|
Рис.13
|
При изготовлении постоянных конструкций нам было важно получить согласованную форму и оптимальную функцию, которые мы определили на этапе временного протезирования. Для воссоздания эстетики мы использовали цифровые технологии: каркас безметалловой конструкции получили из смоделированного ранее прототипа, применив редуцирование вестибулярной поверхности (Рис.14).
Рис.14
|
Рис.15
|
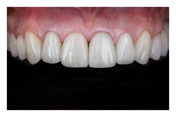
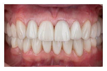
Керамика имеет очень широкую линейку дополнительных масс, поэтому не составляет труда подобрать материал для решения любой клинической задачи. Она отлично зарекомендовала себя, отвечая всем эстетическим и функциональным требованиям (Рис.16-23).
Рис.16
|
Рис. 17 ![]() |
Рис. 19 ![]() |
Рис. 20
|
Рис.21![]() |
Рис. 22 ![]() |
Рис 23 ![]() |
Работа выполнена в стоматологической клинике “Doctor Martin”

Рис. 8
Рис. 9
Рис. 10
Рис.11
Рис.13
Рис.14
Рис.16


Рис. 20


